近日,包头市第四医院心血管内科团队成功应用国产自主研发的冠状动脉旋磨系统,为一名严重冠状动脉钙化病变患者实施了冠状动脉内旋磨术,并顺利完成支架治疗。此举标志着包头市第四医院在应对复杂冠心病介入治疗领域取得重大技术突破,实现了国产冠脉旋磨设备在自治区冠脉介入领域临床应用“零的突破”,为广大严重冠脉钙化患者带来了全新的手术方案和生命希望。

本次手术的患者为高龄女性,因反复胸痛入院,经冠状动脉造影检查,提示其前降支血管存在严重钙化病变,血管壁如同被坚硬的“石头”包裹,管腔极度狭窄,常规的球囊无法扩张,支架也难以通过和释放,治疗难度与风险极高。面对这一棘手的“硬骨头”,心血管内科团队经过严谨的术前讨论和充分评估,决定迎难而上采用最新引进的国产冠脉旋磨系统为患者实施手术。

旋磨导管特写
手术当日,手术团队操作娴熟、配合默契,直径仅1.25毫米的金刚石涂层旋磨头以每分钟近14万转的高速旋转,如同精密的“隧道掘进机”,一点点地将患者冠脉内坚硬的钙化斑块研磨成比红细胞还小的微颗粒,被人体血液循环安全吸收。旋磨过程顺利,成功为后续治疗开辟了通道。随后,团队成功植入两枚支架,术后患者血管血流通畅,胸痛症状显著缓解,恢复情况良好。

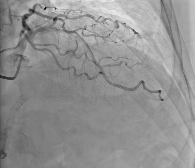
术前造影

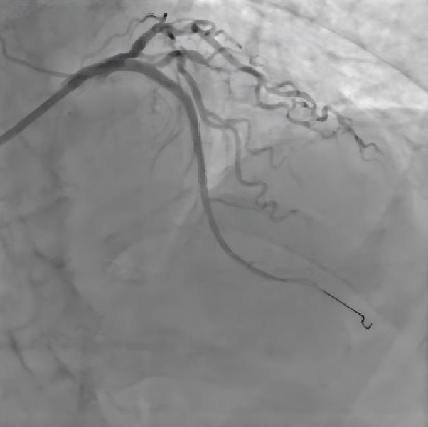
支架植入后造影
冠状动脉钙化病变是冠心病介入治疗中的“拦路虎”,业内一直有“天不怕地不怕,就怕冠脉有钙化”的说法,传统手段常常束手无策。冠脉旋磨技术是处理严重钙化病变的终极利器,能够显著提高手术成功率,改善患者预后。然而,过去该技术及相关设备长期被国外品牌垄断,一定程度上限制了其在临床的广泛应用。

旋磨导管进入冠脉时图像
此次包头市第四医院心血管内科成功开展的自治区首例国产冠脉旋磨系统手术,不仅展示了医院在复杂冠心病介入诊疗方面的雄厚实力与区域领先水平,更具有深远的现实意义。一打破垄断,降低费用。国产设备的成功应用打破了国外技术垄断,有望显著降低手术耗材成本,减轻患者经济负担,让更多基层百姓能够用得上、用得起这项尖端技术。二技术普惠,提升通道。推动高端医疗技术下沉,使内蒙古乃至周边地区的严重冠脉钙化患者能在“家门口”就获得国内顶尖水平的治疗,无需远赴外地求医。三自主创新,彰显自信。这是国产高端医疗装备在心血管领域创新成果的一次成功实践,彰显了我国医疗器械研发制造的飞速进步与强大潜力,坚定了医疗行业的民族自信。
包头市第四医院心血管内科始终致力于技术创新与服务提升,此次首例手术的成功,是科室发展历程上的一个重要里程碑。科室主任田斌表示:“我们很高兴能够率先将这项国产前沿技术应用于临床并取得成功。这不仅是一次技术上的突破,更是一份沉甸甸的社会责任。今后,我们将继续紧跟医学发展前沿,积极引进和开展新技术、新项目,不断提升解决疑难复杂心血管疾病的能力,用更优质的医疗服务守护鹿城及周边地区百姓的‘心’健康。”
此次手术的成功,开启了内蒙古自治区冠心病介入治疗国产化的新篇章,为区域内心血管疾病患者提供了更优质、更普惠的医疗选择。
撰稿:李鹏飞